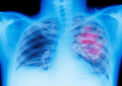
يعتبر سرطان الرئة أحد أكثر اسباب الوفاة شيوعا بين الرجال والنساء في الولايات المتحدة الامريكية، حسب جمعية السرطان الامريكية. حيث وجدت دراسة جديدة ان الفلفل …
أعلن نائب المدير العام لمؤسسة الدراسات المتقدمة، ألكسندر بانفيلوف، أن العلماء الروس ابتكروا جهازا يمكن بواسطته تشخيص الإصابة بالسل وسرطان الرئة مبكرا. وقال رئيس قسم …
يرتبط سرطان الرئة بشكل وثيق مع التدخين، ولكن نسبة الإصابة به ارتفعت بشكل ملحوظ بين أوساط النساء، بينما تتراجع سنويا عند الرجال. وتزداد أعداد النساء المصابات …
أظهرت نتائج أولية أن فحص دم تجريبيا تطوره شركة جريل يبشر باكتشاف سرطان الرئة في مراحله المبكرة استناداً إلى الحمض النووي العائم الذي يطلقه الورم في الدم. …
قبل الإقدام على خطوة تلقي علاج سرطان الرئة، يحدد الأطباء بعد التشخيص العلاج الآمن والفعال حسب كل حالة ومراحل تقدم المرض. ووفقاً لموقع " cancer" المتخصص …
الرئة تزوّد الجسم بالأوكسيجين الذي تحتاجه الخلايا، والتخلص من ثاني أكسيد الكربون والملوثات. في ما يلي بعض النصائح للمحافظة على الرئة بصحة جيدة أطول فترة …
وافقت إدارة الغذاء والدواء الأمريكية "FDA"، اليوم، على دواء جديد لسرطان الرئة يسمى "Imfinzi" ويحتوى على المادة الفعالة durvalumab لعلاج المرضى الذين يعانون من المرحلة الثالثة من المرض، …