ونشر العلماء نتائج دراستهم في مجلة "Nature Communications". وجاء فيها أن مركب قطرات العين المعروف بـ "SPHINX31" الذي يستخدم عادة في علاج أمراض شبكية العين، …
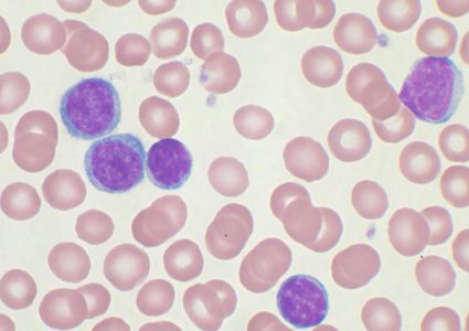
تتجه مستشفيات بريطانيا إلى بدء علاج "ثوري" لمرضى سرطان الدم (اللوكيميا) من خلال الاعتماد على تقنية باهظة تعيد برمجة النظام المناعي لدى المصابين بالمرض الخبيث. …
وافقت هيئة الغذاء والدواء الأميركية FDA على عقار جديد لعلاج المرضى البالغين الذين يعانون من سرطان الدم النخاعي الحاد أو ما يعرف بـ"اللوكيميا". وأوضحت الهيئة …
ذكر موقع رابطة العلوم المتقدمة الأمريكية، أن فريقا من الباحثين في جامعة بوسطن، اكتشفوا أن أحد البروتينات يتسبب بتكاثر وتحوّل فيروس تي- اللمفاوي البشري الذي …
حصل معهد المناطق القاحلة (حكومي) بمحافظة مدنين جنوب شرقي تونس، على براة اختراع لدواء جديد مضاد لمرض سرطان الدم، تم استخراجه من نبتة "اللاّزول" الموجودة …