أكد أسعد عوض مسؤول العلاقات العامة والإعلام في كلية هشام حجاوي التكنولوجية، للنجاح الإخباري، اليوم الخميس، أن الرصاصة التي أصابت نافذة الكلية ليلة أمس الأربعاء، ماهي …
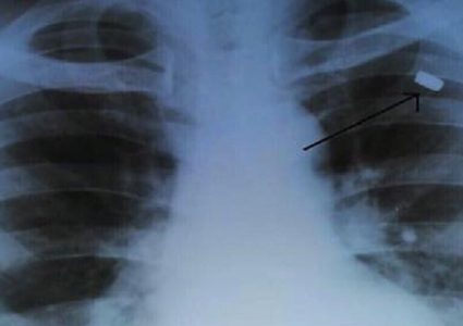
حمل الروسي ألكسي ألفيورف، رصاصة في عينه لمدة 17عاما، والتي تعود لسنوات الدراسة. وحسب موقع" غوفوريت موسكفا" الروسي، فإن الحادث يعود إلى أيام الدراسة، حيث …
جت فتاة سعودية من رصاصة طائشة اخترقت كتابها فيما كانت هي منزلها تراجع دروسها للإمتحانات في محافظة القنفذة إحدى محافظات منطقة مكة المكرمة. فوفقاً لموقع …
أثارت رصاصة "كومفورت 32" الروسية الجديدة دهشة خبراء أمريكيين قاموا باختبارها ونشر مقطع فيديو للتجربة على يوتيوب. ولاختبار قوة الرصاصة الروسية، أطلقها الخبراء على مجموعة …